اختلال کیاری “Chiari”(CM) یک ناهنجاری ساختاری مرتبط با جمجمه و مغز است. این بدان معنی است که جمجمه کوچک یا غیر استاندارد است و این مسئله باعث میشود که مغز فرد در فضای جمجمه تحت فشار قرار بگیرد. این شرایط میتواند باعث گسترش بافت مغز به داخل کانال نخاع شود.
CM بخشی از مغز شما به نام مخچه را تحت تأثیر قرار میدهد. مخچه در پشت ساقه مغز قرار دارد، جایی که نخاع با مغز روبرو میشود. وقتی مخچه به کانال نخاع فشار بیاورد، این احتمال وجود دارد که سیگنالهای مغز وارده به بدن شما را مسدود کند. همچنین این مسئله میتواند باعث تجمع مایعات در مغز یا نخاع شما شود. این فشار و تجمع مایعات ممکن است انواع مختلفی از علائم عصبی را ایجاد کنند. به طور معمول علائم شامل تعادل و هماهنگی بینایی و گفتار است.
CM به نام هانس کیاری “Hans Chiari” آسیب شناس اتریشی نامگذاری شده است که ناهنجاریها را در دهه 1890 توصیف و طبقهبندی کرده است. همچنین به عنوان ناهنجاری آرنولد-کیاری “Arnold-Chiari”، فتق مغز پشت سر و tonsillar ectopia شناخته میشود.
به منظور کسب اطلاعات بیشتر در مورد این بیماری، از انواع و علل ابتلا به این اختلال گرفته تا چشمانداز و پیشگیری از آن، ادامه مقاله را مطالعه نمایید.
فهرست مطالب
- 1 چه عواملی باعث ناهنجاری کیاری میشود؟
- 2 انواع ناهنجاریهای کیاری کدامند؟
- 3 علائم ناهنجاری کیاری چیست؟
- 4 عوامل خطرزا در ابتلا به بیماری چیاری یا کیاری چیست؟
- 5 چگونه ناهنجاری کیاری تشخیص داده میشود؟
- 6 درمان ناهنجاری کیاری چیست؟
- 7 چشم انداز و امید به زندگی برای بیماران مبتلا به ناهنجاری کیاری چگونه است؟
- 8 چگونه زنان باردار میتوانند از بروز ناهنجاری کیاری در فرزندان خود جلوگیری کنند؟
- 9 تحقیقات در حال انجام درباره بیماری کیاری
- 10 منابع:
چه عواملی باعث ناهنجاری کیاری میشود؟
اگر CM در مراحل جنینی ایجاد شود، به عنوان CM اولیه یا مادرزادی شناخته میشود.
چندین عامل ممکن است باعث CM اولیه شود:
- جهشهای ژنتیکی ممکن است باعث رشد غیرطبیعی جنین شوند.
- کمبود ویتامینها و مواد مغذی مناسب در دوران بارداری مانند اسید فولیک “folic acid” ممکن است بر رشد جنین تأثیر بگذارد.
- عفونت یا تب شدید در دوران بارداری ممکن است بر روی رشد جنین تأثیر بگذارد.
- قرار گرفتن در معرض مواد شیمیایی خطرناک، داروهای غیرقانونی یا الکل در دوران بارداری ممکن است بر رشد جنین تأثیر بگذارد.
همچنین گاها CM میتواند در بزرگسالی در اثر تصادف یا عفونت در جایی که مایع نخاعی تخلیه میشود، رخ دهد. این نوع از اختلال به عنوان CM ثانویه شناخته میشود.

انواع ناهنجاریهای کیاری کدامند؟
- نوع 1: نوع 1 رایجترین نوع CM است. این نوع از اختلال، قسمت تحتانی مخچه که به tonsils معروف است را شامل شده اما ساقه مغز را درگیر نمیکند. CM نوع 1 هنگامی که جمجمه و مغز همچنان در حال رشد هستند، ایجاد میشود. علائم این نوع از اختلال ممکن است تا سالهای نوجوانی یا بزرگسالی ظاهر نشوند. به طور معمول پزشکان طی آزمایشات تشخیصی این وضعیت را به طور تصادفی پیدا میکنند.
- نوع 2: نوع 2 اختلال به عنوان CM کلاسیک نیز شناخته میشود، نوع 2 شامل بافت ساقه مخچه و مغز است. در برخی موارد ممکن است بافت عصبی که مخچه را به یکدیگر متصل میکند، به طور جزئی یا به طور کامل از دست رفته باشد. این شرایط غالباً با نقص مادرزادی با نام myelomeningocele همراه است. این وضعیت زمانی اتفاق میافتد که ستون فقرات و کانال نخاعی در هنگام تولد به طور طبیعی در هم بسته نشوند.
- نوع 3: نوع 3 یک ناهنجاری بسیار نادر اما جدیتر از سایر انواع بیماری است. بافت مغز به نخاع گسترش مییابد و در بعضی موارد این امکان وجود دارد که قسمتهایی از مغز بیرون زده شوند. این موضوع میتواند باعث بروز نقص عصبی شدید گردد. همچنین این امکان وجود دارد که این نوع از بیماری باعث ایجاد عوارض تهدید کننده زندگی شود. کیاری نوع 3 اغلب همراه با هیدروسفالی “hydrocephalus” یا همان تجمع مایعات در مغز مشاهده شده است.
- نوع 4: نوع 4 شامل مخچه ناقص یا توسعه نیافته است. به طور معمول این شرایط در نوزادی کشنده است.
- نوع 0: نوع 0 برای برخی از پزشکان بحث برانگیز است زیرا حداقل از لحاظ فیزیکی تغییراتی در tonsils مخچه ایجاد میکند و همچنان این احتمال وجود دارد که باعث سردرد شود.

علائم ناهنجاری کیاری چیست؟
به طور کلی هرچه بافت مغز به ستون فقرات فشار بیاورد، شدت علائم بیماری بیشتر میشود. به عنوان مثال ممکن است فردی با نوع 1 بیماری هیچ علائمی نداشته باشد، در حالی که فرد با نوع 3 اختلال ممکن است علائم شدیدی را تجربه نماید. افراد مبتلا به CM بسته به نوع، تجمع مایعات و فشار بر بافتها یا اعصاب میتوانند علائم مختلفی داشته باشند.
با توجه به این موضوع که که CM بر مخچه تأثیر میگذارد، به طور معمول علائم شامل تعادل و هماهنگی بینایی و گفتار است. شایعترین علامت سردرد در قسمت پشت سر است. اغلب این درد با فعالیتهایی مانند ورزش کردن، تحریک کردن قسمت دردزا، خم شدن و غیره ایجاد میشود.
علائم دیگر ناهنجاری کیاری عبارتند از:
- سرگیجه
- گردن درد
- بی حسی یا سوزن سوزن شدن دست و پا
- مشکل در بلعیدن غذا و خوراکی
- ضعف در بالاتنه
- از دست دادن شنوایی
- از دست دادن احساس درد یا حرارت در قسمت بالاتنه
- مشکل در ایجاد تعادل یا مشکل در راه رفتن
علائم کمتر شایع شامل ضعف عمومی بدن، صدای زنگ در گوش، انحنای ستون فقرات، کندتر شدن ضربان قلب و تنفس غیرطبیعی است.

علائم ناهنجاری کیاری در نوزادان
علائم در نوزادان از هر نوع CM ممکن است شامل موارد زیر باشد:
- مشکل در بلعیدن
- تحریکپذیری در هنگام غذا خوردن
- سرخوشی بیش از حد و غیرطبیعی
- حالت تهوع یا استفراغ
- مشکلات تنفسی نامنظم
- گرفتگی گردن
- تاخیرهای رشد
- اختلال در وزن گرفتن
- از دست دادن قدرت و توان بازوها
اگر نوع 2 بیماری کیاری همراه با مایعات اضافی در مغز باشد، علائم و نشانههای دیگر ممکن است شامل موارد زیر باشند:
- سر بزرگ شده و غیرطبیعی
- استفراغ
- تشنج
- تحریکپذیری
- تأخیر در رشد و توسعه
گاهی اوقات علائم بیماری کیاری میتوانند به سرعت پیشرفت کنند و نیاز به درمان فوری و اورژانسی دارند.
عوامل خطرزا در ابتلا به بیماری چیاری یا کیاری چیست؟
CM در همه گروههای جمعیتی رخ میدهد، تقریبا 1 مورد از هر 1000 تولد به این بیماری مبتلا شدهاند. این بیماری ممکن است ارثی باشد و در افراد خانواده نیز وجود داشته باشد اما تحقیقات بیشتری برای تعیین و تشخیص این مورد لازم است.

انیستیتوی ملی اختلالات عصبی و سکته مغزی (NINDS) گزارش میدهد که زنان بیش از مردان به CM مبتلا میشوند (زنان با احتمال بیشتری مبتلا میگردند). همچنین NINDS خاطر نشان میکند که ناهنجاریهای نوع 2 در افراد از نژاد سلتیک “Celtic” شیوع بیشتری دارد.
اغلب افراد مبتلا به CM بیماریهای دیگری از جمله اختلالات عصبی ارثی و ناهنجاریهای استخوانی دارند.
سایر شرایط مرتبط که میتوانند خطر ابتلا به CM را افزایش دهند عبارتند از:
- myelomeningocele: نوعی اسپینا بیفیدا “spina bifida” یا نقص مادرزادی است که در جایی که کانال نخاع و ستون فقرات قبل از تولد کودک بسته نمیشود، ایجاد میگردد.
- هیدروسفالی: تجمع مایعات اضافی در مغز شما که اغلب با CM نوع 2 دیده میشود.
- syringomyelia: سوراخ یا کیست در ستون فقرات به نام syrinx
- سندرم بند بند: اختلال عصبی ناشی از اتصال نخاع به استخوان ستون فقرات. این شرایط میتواند به قسمت پایین بدن آسیب برساند. خطر ابتلا در افراد مبتلا به میومنگوسل “myelomeningocele” بیشتر است.
- انحنای ستون فقرات: یک بیماری شایع است به ویژه در کودکانی که CM نوع 1 دارند.
چگونه ناهنجاری کیاری تشخیص داده میشود؟
اغلب CM در رحم در حین آزمایشات سونوگرافی یا هنگام تولد تشخیص داده میشود. اگر هیچ علامتی ندارید، این احتمال وجود دارد که پزشک شما به طور تصادفی هنگام آزمایش شدن برای چیز دیگری، این اختلال را پیدا کند.
نوع CM موجود به موارد زیر بستگی دارد:
- تاریخچه پزشکی
- علائم
- ارزیابی بالینی
- تستهای تصویربرداری
- معاینه بدنی
پزشک عملکردهایی را که تحت تأثیر CM قرار میگیرند، در طول معاینه فیزیکی ارزیابی میکند از جمله موارد زیر:
- تعادل
- شناخت
- حافظه
- مهارتهای حرکتی
- رفلکس
- احساس هر چیزی
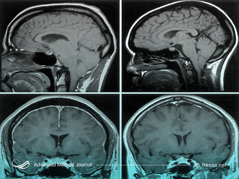
همچنین این امکان وجود دارد که پزشک به منظور کمک به تشخیص بیماری، اسکن تصویربرداری را تجویز کند. این موارد میتواند شامل اشعه ایکس “X-rays”، اسکن MRI و سی تی اسکن “CT scan” باشد. این تصاویر به پزشک شما کمک میکند تا به دنبال ناهنجاری در ساختار استخوان، بافتهای مغز، اندامها و اعصاب باشد.
درمان ناهنجاری کیاری چیست؟
درمان به نوع، شدت و علائم بیماری بستگی دارد. اگر CM در زندگی روزمره شما تداخل ایجاد نکند، این احتمال وجود دارد که به منظور کاهش درد، پزشک برای شما داروهایی را تجویز نماید.
در مواردی که علائم بیماری، تداخل ایجاد کنند یا به سیستم عصبی شما آسیب برسانند، پزشک جراحی را به شما پیشنهاد میکند. نوع جراحی و تعداد جراحیهای پیشنهادی به شرایط شما بستگی دارد.
-
برای بزرگسالان:
جراحان با برداشتن بخشی از جمجمه فضای بیشتری ایجاد میکنند. این اقدام فشار ستون فقرات را کاهش میدهد. آنها مغز را با یک تکه یا بافت از قسمت دیگری از بدن شما میپوشانند.
جراح ممکن است از جریان الکتریکی به منظور کوچک شدن لوزههای مخچه استفاده کند. همچنین این احتمال وجود دارد که لازم شود، قسمت کوچکی از ستون فقرات را خارج کنید تا فضای بیشتری ایجاد شود.
-
برای نوزادان و کودکان:
نوزادان و کودکان مبتلا به اسپینا بیفیدا به منظور جابجایی نخاع و بستن فاصله پشت خود نیاز به جراحی دارند. اگر آنها هیدروسفالی داشته باشند، جراح لولهای به منظور تخلیه مایعات اضافی در جهت کاهش فشار نصب مینماید. در بعضی موارد این احتمال وجود دارد که یک سوراخ کوچک ایجاد کنند تا جریان مایع را بهبود بخشند. به طور کلی جراحی برای تسکین علائم در کودکان موثر است.

چشم انداز و امید به زندگی برای بیماران مبتلا به ناهنجاری کیاری چگونه است؟
جراحی میتواند به تسکین علائم کمک کند اما شواهد حاصل از تحقیقات در مورد موثر بودن درمان تا حدودی متفاوت است. به طور معمول علائم خاصی و موردی بعد از جراحی، بیش از علائم دیگر بهبود مییابند. در دراز مدت افرادی که برای درمان CM تحت عمل جراحی قرار میگیرند، به منظور بررسی تغییرات علائم و عملکرد نیاز به نظارت پیدرپی و آزمایش مجدد دارند. نتیجه هر مورد متفاوت است. گاهی این احتمال وجود دارد که بیش از یک عمل جراحی لازم باشد.
چشم انداز اختلال کیاری به موارد زیر بستگی دارد:
- سن
- نوع CM
- سلامتی کلی
- شرایط موجود
- پاسخ به درمان
نوع 1: کیاری نوع 1 کشنده محسوب نمیشود. یک مطالعه با منبع معتبر، فرد مبتلا به CM نوع 1 را بررسی کرد و از این تحقیق دریافت که 96 درصد علائم گزارش شده در طی شش ماه پس از جراحی بهبود یافته است اما یک گزارش دیگر هیچ تغییری را ارائه نکرده است. همه شرکت کنندگان پس از جراحی همچنان علائم باقیمانده را احساس میکردند. شایعترین علائمی که پس از درمان احساس شد شامل درد و از دست دادن احساس بود. جراحی CM نمیتواند آسیب عصبی موجود را معکوس کند اما درمان از آسیب بیشتر جلوگیری مینماید.
CM و syringomyleia: یک مطالعه اصلاحی در سال 2009 با منبع معتبر، 157 مورد از سرنگومیلیا “syringomyelia” مرتبط با CM را بررسی کرده است. شانس بهبود یا ثابت ماندن طولانی مدت بیماری در این گزارش، 90 درصد گزارش شده است. به طور کلی این تحقیقات نتایج متفاوتی را شامل میشوند و نیازمند بررسیهای گستردهتر درمورد این بیماری و علائم آن است.
هر کدام از نتیجهها به شخص بیمار بستگی دارد. در مورد وضعیت خود، خطرات عمل و سایر نگرانیها با پزشک متخصص صحبت کنید. این موارد به تعریف موفقیت کمک میکنند، همچنین تغییرات میتوانند از بهبود علائم تا از بین بردن علائم متفاوت باشند.

چگونه زنان باردار میتوانند از بروز ناهنجاری کیاری در فرزندان خود جلوگیری کنند؟
زنان باردار میتوانند با دریافت مواد مغذی مناسب به ویژه اسید فولیک و جلوگیری از قرار گرفتن در معرض مواد خطرناک، داروهای غیرقانونی و الکل از برخی از دلایل احتمالی بروز CM جلوگیری کنند. اگر نگران ابتلای فرزند خود به اختلال کیاری هستید با پزشک خود مشورت نمایید و راههای مقابله از ابتلا به بیماری را بررسی نمایید.
تحقیقات در حال انجام درباره بیماری کیاری
بررسی علت بروز CM، موضوع تحقیقات مداوم محققان این حوزه است. در حال حاضر محققان در حال بررسی عوامل ژنتیکی و خطرات ایجاد این اختلال هستند. همچنین آنها در حال بررسی جراحیهای جایگزینی هستند که ممکن است به درمان جریان مایعات در کودکان کمک کند. تحقیقات بسیار متنوع هستند و با توجه به سن، علائم و نوع بیماری دستهبندی میگردند. یکی از مهمترین موضوعات و مسائل مرتبط با درمان بیماری کیاری، تشخیص به موقع بیماری و شروع کردن درمان است. در صورت تشخیص بیماری توسط پزشک، درمان را شروع نمایید و وقتهای خود را با پزشک متخصص تنظیم نمایید. پایبندی به اصول تجویزی توسط پزشک و مصرف داروها درمان را سرعت بخشیده و عوارض و علائم بیماری را کاهش میدهد. همچنین این اقدامات از برزو عوارض جدید جلوگیری کرده یا گاها عوارض را کند میکند.