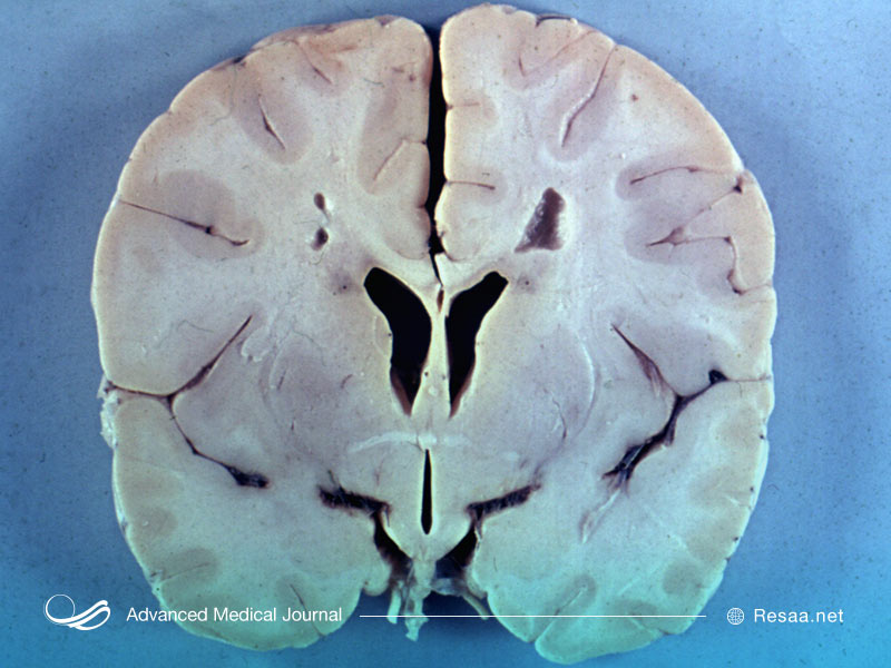
بیماری الکساندر یک اختلال بسیار نادر در سیستم عصبی است. به طور معمول رشتههای عصبی توسط یک لایه چربی، به نام میلین “Myelin” پوشانده میشوند. میلین از رشتههای عصبی محافظت میکند و به آنها در انتقال تکانهها کمک میکند. در بیماری الکساندر “Alexander”، میلین از بین میرود. این بدان معناست که انتقال تکانههای عصبی مختل شده و عملکرد سیستم عصبی نیز با اختلال روبهرو میشود.
همچنین رسوبات غیرمعمول پروتئین در سلولهای تخصصی پشتیبانی کننده مغز و نخاع، در افراد مبتلا به بیماری الکساندر دیده میشوند.

فهرست مطالب
- 1 آیا بیماری الکساندر با عناوین دیگری شناخته میشود؟
- 2 علائم بیماری یا اختلال الکساندر چیست؟
- 3 علت بیماری الکساندر چیست؟
- 4 آیا این احتمال وجود دارد که سایر فرزندان خانواده نیز بیماری الكساندر را داشته باشند؟
- 5 بیماری الکساندر چگونه تشخیص داده میشود؟
- 6 گزینههای درمانی در جهت بهبودی و مداوای بیماری الکساندر چیست؟
- 7 اشکال مختلف بیماری الکساندر چیست؟
- 8 بیماری الکساندر چه تاثیری بر گروههای سنی مختلف دارد؟
- 9 چشمانداز و آینده طولانی مدت بیماری الکساندر چیست؟
- 10 چه تحقیقی به منظور یافتن روشهای درمانی بهتر و درمان بیماری الكساندر در حال انجام است؟
- 11 منابع:
آیا بیماری الکساندر با عناوین دیگری شناخته میشود؟
بلی. در حالی که بیماری الکساندر رایجترین و پرکاربردترین نام این اختلال است، چندین نام دیگر وجود دارد که میتوانند بیماری الکساندر را معرفی نمایند.
این اسامی شامل موارد زیر هستند:
- مخفف بیماری الکساندر: ALX و AxD
- Alexander’s Disease Leukodystrophy
- لکودایستروفی دمیلینوژنیک “Demyelinogenic Leukodystrophy”
- فیبرینوئید لکودایستروفی “Fibrinoid Leukodystrophy”
- لوکودیستروفی دیس میلینوژنیک “Dysmyelinogenic Leukodystrophy” با مگالوبارنسفالی (Megalobare)
- لکودایستروفی “Leukodystrophy” با الیاف روزنتال “Rosenthal”
- انحطاط فیبرینوئید آستروسیتها “Astrocytes”
- هاینو پانوروپاتی “Hyine Panneuropathy”
- Megalencephaly با Hyaline Inclusive
- مگالنسفالی با پانوروپاتی هیالین “Hyaline Inclusion”
- بیماری ماده سفید
Alexander’s Disease در واقع به نام آسیبشناس استرالیایی، دکتر W. Stewart Alexander نامگذاری شده است. دکتر الكساندر اولین پزشكی بود كه یك مورد شیرخوار مبتلا به بیماری الكساندر را در سال 1949 توصیف كرد.
علائم بیماری یا اختلال الکساندر چیست؟
این امکان وجود دارد که علائم بیماری الكساندر متفاوت باشد. این علائم تا حد زیادی به سن شروع این اختلال وابسته هستند. با گذشت زمان افراد مبتلا به این اختلال به دلیل از دست دادن نقاط عطف رشدی که قبلاً به دست آورده بودند، به آرامی توانایی عملکرد خود را از دست میدهند.

علائم اختلال الکساندر میتواند شامل موارد زیر باشد:
- اسپاسم “spasms”
- ناتوانی در یادگیری
- نارسایی حاد تنفسی
- مشکلات تغذیه و گوارشی
- یبوست: عدم توانایی در حرکات طبیعی رودهای که میتواند منجر به مسائل و اختلالات جدی دیگری شود.
- استفراغ مکرر
- اندازه سر غیرطبیعی و بزرگ شده
- هیدروسفالی “hydrocephalus” (مایعات اضافی در مغز)
- مغز بزرگ شده
- تأخیر در توسعه و رشد
- تشنج
- عدم رشد جسمانی و ذهنی
- افزایش یا کاهش وزن غیراستاندارد
- اختلال در تحرک
- مشکلات مربوط به راه رفتن
- مشکلات گفتاری
- عقبگرد و پسرفت رشد ذهنی
- مشکل در بلعیدن غذا
- ناتوانی در سرفه کردن
- اختلالات خواب
- کوادریپارزیس “Quadriparesis”: فلج دست و پا
- علائمی که مولتیپل اسکلروزیس را نشان میدهند: (شروع بیماری در بزرگسالان)
همچنین شدت علائم این اختلال میتواند بسیار متفاوت باشد. به طور کلی هرچه شروع بیماری در سنین پایین و زودتر باشد، شدت علائم بیشتر شده و عود بیماری با سرعت بالاتری پیشرفت میکند.
بیماری الکساندر کشنده است. بسیاری از نوزادان مبتلا به این بیماری در طول سال اول زندگی از بین رفته و زنده نمیمانند. عود و وخامت بیماری کودکانی که در سنین 4 تا 10 سالگی به این بیماری مبتلا میشوند، به تدریج کاهش مییابد. آنها پس از تشخیص این اختلال میتوانند چندین سال زندگی کنند و بعضی از آنها ممکن است تا میانسالی زنده بمانند.
علت بیماری الکساندر چیست؟
براساس اطلاعات مرکز اطلاعرسانی بیماریهای ژنتیکی و نادر، در حدود 90 درصد موارد بیماری الکساندر به دلیل نقص در ژن پروتئین اسیدی فیبریلاری گلایال “glial fibrillary acidic protein” (GFAP) ایجاد میشود. ژن GFAP در توسعه ساختار سلولی نقش دارد اما به منظور درک نقش خاص GFAP در سلامت فردی و بیماریها، تحقیقات بیشتری لازم است. در تعداد کمی از موارد، به طور خاص مشخص نیست که چه چیزی باعث بیماری الکساندر میشود.
همچنین به نظر نمیرسد نقص ژن ارثی باشد. در عوض به نظر میرسد که این اختلال به طور تصادفی اتفاق میافتد. برخی انواع معروف بیماری الکساندر گزارش شده است؛ با این حال این اختلال بیشتر در بزرگسالان دیده میشود.
طبق گزارش موسسه ملی بهداشت از سال 1949 تاکنون فقط حدود 500 مورد از بیماری الکساندر گزارش شده است.

آیا این احتمال وجود دارد که سایر فرزندان خانواده نیز بیماری الكساندر را داشته باشند؟
بعید است که خواهر و برادر کودکان مبتلا به بیماری الکساندر نیز به این بیماری مبتلا باشند. در بیشتر موارد جهش ژنتیکی ایجاد کننده این اختلال خود به خود به وجود میآید، به این معنی که این جهش از هیچ یک از والدین منتقل نشده است. بنابراین بعید است سایر کودکان از همان والدین به بیماری الکساندر مبتلا شوند.
لازم است با یک متخصص ژنتیک یا متخصص بیماری الکساندر صحبت کنید تا در مورد احتمال انتقال بیماری از طریق ژنتیک به سایر اعضای خانواده خود صحبت کنید.
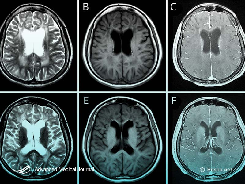
بیماری الکساندر چگونه تشخیص داده میشود؟
اغلب پزشکان براساس علائم ارائه شده به بیماری الكساندر مشكوك میشوند. سپس آنها نمونه خون گرفته و به منظور انجام آزمایش ژنتیک، آن را ارسال میکنند. در بیشتر موارد و به طور معمول آزمایش خون، شامل تمام مواردی است که پزشکان به منظور تشخیص بیماری به آن نیاز دارند.
گزینههای درمانی در جهت بهبودی و مداوای بیماری الکساندر چیست؟
در حال حاضر هیچ درمان قطعیای برای بیماری الکساندر وجود ندارد. فقط علائم این اختلال قابل درمان هستند. از آنجا که هیچ درمان خاصی برای این بیماری در دسترس نیست، مراقبان بهداشتی و پزشکان با توجه و بررسیهای بسیار در تلاشند تا بیماری را به طور حمایتی مدیریت کنند.
توجه خاص مراقبان و پزشکان به طور خاص بر روی موارد زیر است:
- مراقبت کلی
- کاردرمانی و فیزیوتراپی
- نیازهای تغذیهای
- گفتاردرمانی
- تجویز آنتیبیوتیک برای هرگونه عفونت ایجاد شده
- داروهای ضد صرع برای کنترل تشنج
با استفاده از جراحی میتوان تا حدی هیدروسفالی را تسکین داد. این جراحی شامل قرار دادن شانت “shunt” به منظور تخلیه مایعات در مغز و تخلیه فشار بر روی مغز است.
اشکال مختلف بیماری الکساندر چیست؟
این موضوع مهم نیست که کدام نوع از بیماری الکساندر برای بیمار تشخیص داده شود، مراقبتهای پزشکی جامع و به موقع از اهمیت بیشتری برخوردار است. شبکه مراقبت از بیماری الکساندر به منظور تأمین بهترین کیفیت مراقبت در مراکز تخصصی به افراد آسیب دیده از بیماری کمک میکنند.
نوزادی
این نوع از بیماری، یک شکل بسیار نادر از این اختلال است که میتواند در ماه اول زندگی رخ دهد. به طور کلی این نوع از اختلال خطرناک است و ریسک بالایی دارد.
شروع اختلال از شیرخوارگی
شروع علائم برای نوع نوزادی بیماری الكساندر میتواند در هر سنی بین بازهی تولد تا 4 سالگی آغاز گردد. بیشترین موارد تشخیص در زمان شیرخوارگی در 2 سال اول زندگی مشاهده میشود. میانگین سنی شروع بیماری تقریباً 6 ماه است. حدود 80٪ از موارد تشخیصی، در شروع نوزادی تشخیص داده شده است.
شروع اختلال از نوجوانانی
به طور معمول نوع نوجوانی بیماری الكساندر از 4 سالگی تا اوایل نوجوانی ظاهر میشود. شایعترین چارچوب زمانی تشخیص برای این شروع بین 4 تا 10 سالگی است. تقریباً 14٪ از تشخیص بیماری الکساندر در شروع نوجوانی دیده شده است.
شروع اختلال از بزرگسالی
نوع بزرگسالی بیماری الكساندر كمترین شیوع را دارد و با كندی پیشرفت میكند. تقریباً 6٪ موارد اختلال، این مدل از بیماری را نشان میدهند. به دلیل ماهیت ارائه الیاف روزنتال در بیماری الكساندر، برخی از موارد بیماری با شروع بزرگسالی فقط در هنگام كالبد شکافی و به طور تصادفی کشف میشود.
بیماری الکساندر چه تاثیری بر گروههای سنی مختلف دارد؟
بیماری الکساندر در کودکان چگونه است؟
به طور معمول این اختلال در دوران نوزادی و قبل از 2 سالگی تشخیص داده میشود.
این تشخیص توسط مشاهده علائم زیر صورت میگیرد:
- تشنج
- سفتی در بازوها و پاها
- بزرگ شدن اندازه مغز و سر
- ناتوانی در یادگیری
- تأخیر در رشد
به ندرت و با درصد ضعیف این احتمال وجود دارد که بیماری در دوران کودکی ایجاد شود. کودکان و نوجوانان علائم مشابه با بزرگسالان مبتلا به این بیماری را نشان میدهند.

بیماری الکساندر در بزرگسالان چگونه است؟
هنگامی که این اختلال در کودکان، نوجوانان و بزرگسالان شروع میشود، به طور معمول علائم شامل موارد زیر است:
- هماهنگی ضعیف (آتاکسی “ataxia”)
- مشکلات بلعیدن
- مشکلات گفتاری
- تشنج
به طور کلی اگر بیماری الکساندر در بزرگسالی ایجاد شود، شدت کمتری دارد. این احتمال وجود دارد که اندازه سر و ظرفیت ذهنی در این مرحله کاملاً طبیعی باشد. با این حال گاهی اوقات یک افت ذهنی آهسته رخ میدهد.
بیماری الکساندر در بزرگسالان و افراد مسن (بیش از 65 سال)
این موضوع بسیار نادر است که بیماری الکساندر در اواخر زندگی فرد ایجاد شود. اگر چنین شود، اغلب علائم بیماری با علائم مولتیپل اسکلروزیس “multiple sclerosis” یا تومور مغزی “brain tumor” اشتباه میشود. به طور معمول شدت بیماری در این موارد به قدری خفیف است که بیماری الکساندر پس از مرگ تشخیص داده میشود، دقیقا زمانی که کالبد شکافی رسوبات غیرمعمول پروتئین را در مغز نشان میدهد.
چشمانداز و آینده طولانی مدت بیماری الکساندر چیست؟
به طور کلی چشم انداز افراد مبتلا به بیماری الکساندر بسیار ضعیف است. چشم انداز این اختلال تا حد زیادی بستگی به سن بیمار در شروع بیماری دارد. نوزادانی که قبل از 2 سالگی به این بیماری مبتلا میشوند، به طور معمول از سن 6 سالگی به بعد دیگر زنده نمیمانند. به طور معمول این بیماری در کودکان بزرگتر، نوجوانان و بزرگسالان روند کندتری را طی میکند و علائم به این شدت نیستند. در برخی موارد در بزرگسالان مبتلا به این بیماری، هیچ علائمی وجود ندارد.
اگر کودک شما از سوی پزشک متخصص، تشخیص بیماری الکساندر را دریافت کرده باشد، سازمانهایی وجود دارند که از این بیماران پشتیبانی میکنند. این سازمانها و بیمارستانها نه تنها به بیماران مبتلا کمک و پشتیبانی میرسانند، بلکه میتوانند شما را با خانوادههای دیگری که دارای فرزند مشابه با فرزند بیمار شما هستند ارتباط دهند. این ارتباط و مشاوره با پزشکان متخصص در این زمینه، نگرانی و استرس شما را کاهش داده و باعث تسریع در روند بهبود بیماری فرزند شما میگردد. به خاطر داشته باشید که با در نظر گرفتن زمانهای ویزیت خود با متخصص و رعایت اصول ذکر شده از سوی آنان، به تسریع درمان علائم بیماری و بهبود اولیه بیماری کمک مینمایید.
چه تحقیقی به منظور یافتن روشهای درمانی بهتر و درمان بیماری الكساندر در حال انجام است؟
Hunter’s Hope متعهد به تأمین بودجه تحقیقات به منظور درمانهای بهتر و ارائهی درمانهای جدید در این حوزه است.
همچنین تحقیقات فعلی در دانشگاه ویسکانسین-مدیسون “Wisconsin-Madison”، مرکز وایزمن “Waisman Center” در حال انجام است. این تحقیق با هدف درک دلایلی ایجاد شده است که جهشها باعث ایجاد بیماری میشوند همچنین شناسایی سایر عوامل ژنتیکی موثر بر شدت آن. علاوه بر این، آنها در حال آزمایش داروهایی هستند که تجمع GFAP را به عنوان درمان بالقوه کاهش میدهند و در تلاشند نشانگرهای زیستی را در خون یا CSF شناسایی کنند که نظارت بر شدت یا پیشرفت را امکانپذیر میکند.

سرانجام یک مطالعه تحقیقاتی در بیمارستان کودکان فیلادلفیا به منظور تعریف تاریخ طبیعی این اختلال در حال انجام است. محققان در حال به دست آوردن ارزیابی نتایج بالینی در جهت سنجش تأثیر بیماری الكساندر بر روی حرکات ناخالص، حرکات خوب، عملکرد گفتار و زبان بیمار، بلع و کیفیت زندگی هستند. دادههای به دست آمده از این مطالعه برای طراحی آزمایشات درمانی آینده استفاده خواهد شد. با مطالعات بیشتر و در نظر گرفتن اطلاعات تکمیلی، یادگیری خود را بالا برده تا بتوانید بهبودی از بیماری و علائم آن را آغاز نمایید. شدت بیماری به عوامل مختلفی بستگی دارد و این موضوع و درک موارد به تشخیص و بهبود این اختلال کمک میکند.
منابع: