کرونا ویروسی از یک خانواده بزرگ است که میتواند انسان یا حیوان را آلوده کند. معمولاً علائم مرتبط با عفونت بسیار خفیف است به طور مثال شبیه به سرماخوردگی. اما کرونا، ویروسی است که قبلاً در انسان مشاهده نشده است؛ به این معنی که هر کسی میتواند به این بیماری آلوده شود و هیچ کس مصونیت داخلی در برابر آن ندارد.
علائم اولیه عفونت کووید 19 تب، سرفه خشک و تنگی نفس است. همچنین برخی از بیماران مبتلا به COVID-19 خستگی، درد عضلانی، از دست دادن بویایی (آنوسمی “anosmia”) یا چشایی را گزارش کردهاند و تا 10٪ افراد مبتلا، علائم مربوط به دستگاه گوارش مانند اسهال را دارند.
اگرچه بیشتر موارد COVID-19 خفیف است اما در برخی از افراد علائم جدیتری ایجاد کرده است. افرادی که بیشتر از سایرین در معرض ابتلا هستند شامل افراد بالای 65 سال، افرادی که به طور قابل توجهی اضافه وزن و نقص ایمنی دارند، میشوند. افرادی که بیماریهای زمینهای قبلی مانند دیابت، بیماری قلبی، بیماری ریوی زمینهای دارند و زنان باردار نیز در معرض خطر هستند.
کووید 19 نسبت به آنفولانزای فصلی مسری و کشندهتر است. این بیماری عمدتا در اثر تماس شخص با فرد مبتلا گسترش مییابد. قطرههای حاوی ویروس در هنگام مکالمه، سرفه یا عطسه فرد آلوده دفع میشوند. این قطرات میتوانند در دهان یا بینی افراد دیگر بنشینند و در ریهی آنها استنشاق شوند. شواهد نشان میدهد که هرچه فرد آلوده بیشتر و نزدیکتر با فرد دیگری ارتباط برقرار کند، احتمال انتقال بیشتر میشود.

از تماس مستقیم با افراد دیگر بپرهیزید و دستهای خود را به صورت مداوم بشویید یا از مواد ضدعفونی کننده استفاده نمایید. صورت و اعضای آن را با دست خود لمس نکنید مگر این که دستهای خود را به درستی تمیز کرده باشید.
فهرست مطالب
- 1 سی تی اسکن و آزمایشات تشخیص کرونا
- 2 آزمایشات تصویربرداری از قفسه سینه چیست؟
- 3 سی تی اسکن قفسه سینه برای تشخیص کرونا به دنبال چه چیزی است؟
- 4 نتایج حاصل از سی تی اسکن تشخیص کرونا چه میزان قابل اعتماد هستند؟
- 5 دقت سی تی اسکن و اشعه ایکس در تشخیص کرونا
- 6 محدودیتهای CT و اشعه ایکس قفسه سینه در تشخیص COVID-19
- 7 انجام اقدامات مناسب برای سلامتی شما در برابر ویروس کرونا
- 8 این بررسیها به روز است؟
- 9 منبع:
سی تی اسکن و آزمایشات تشخیص کرونا
افرادی که مشکوک به COVID-19 هستند، میبایست هرچه سریعتر متوجه شوند که آیا آلوده شدهاند یا خیر. بنابراین میبایست خود را قرنطینه کنند، تحت درمان قرار بگیرند و به نزدیکان خود اطلاع و هشدار دهند. در حال حاضر تشخیص رسمی عفونت COVID-19 نیاز به آنالیز آزمایشگاهی نمونههای خون یا بینی و گلو دارد. تست آزمایشگاهی RT-PCR به تجهیزات ویژهای نیاز دارد. همچنین بعد از انجام این تست، حداقل 24 ساعت طول میکشد تا نتیجه حاصل شود. به علاوه RT-PCR کاملاً دقیق نیست و این احتمال وجود دارد که برای تأیید تشخیص به آزمایش RT-PCR دوم یا آزمایش دیگری نیاز باشد.

COVID-19 یک عفونت تنفسی است: افراد مبتلا به COVID-19 ممکن است سرفههای شدید داشته باشند همچنین این احتمال وجود دارد که در تنفس مشکل داشته و در موارد شدیدتر احتمال ابتلا به ذات الریه COVID-19 وجود دارد. پزشکان به منظور تشخیص بیماری COVID-19 مثلا در زمان انتظار نتایج آزمایش RT-PCR یا هنگامی که نتایج RT-PCR منفی هستند جهت تشخیص دقیقتر COVID-19، از آزمایشات تصویربرداری قفسه سینه استفاده میکنند.

تحقیقات ما جهت دستیابی به این نکته است که تصویربرداری از قفسه سینه در افراد مبتلا به عفونت شناخته شده یا مشکوک چگونه و به چه میزان در تشخیص بیماری COVID-19 دقیق است.
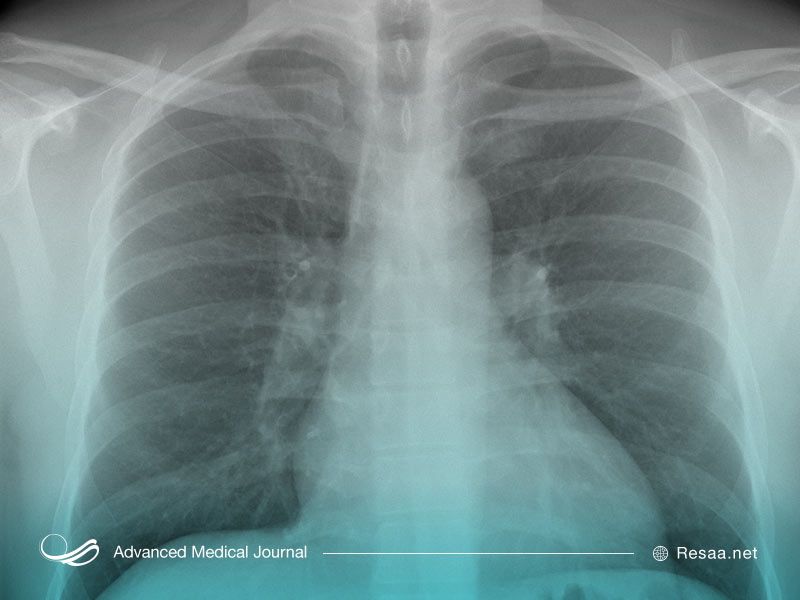
آزمایشات تصویربرداری از قفسه سینه چیست؟
این تصاویر به وسیله اشعه ایکس یا اسکن تصویری از اندامها و ساختارها (قلب، ریهها و مجاری هوایی) در قفسه سینه تولید میشود. تصاویر به دست آمده انسداد، التهاب و مایعات اضافی را تشخیص میدهند.
-
اشعه ایکس (رادیوگرافی “radiography”).
از مقادیر حداقل تابش یا اشعه به منظور تولید یک تصویر دو بعدی استفاده میکند. این روشها معمولاً در بیمارستانها و با استفاده از تجهیزات ثابت توسط متخصص رادیولوژی انجام میشوند اما ممکن است با استفاده از دستگاههای قابل حمل نیز انجام شوند.
-
در اسکن توموگرافی کامپیوتری یا CT “Computed tomography”.
از یک رایانه به منظور ادغام چندین تصویر اشعه ایکس که از زوایای مختلف گرفته شده است تا تصاویر 2 بعدی ایجاد شده را به یک تصویر 3 بعدی تبدیل کند، استفاده میشود. اسکن توموگرافی رایانهای به تجهیزات کاملاً تخصصی احتیاج دارد و توسط متخصص رادیوگرافی در بیمارستان انجام میشود.
-
در اسکنهای اولتراسوند “Ultrasound”.
از امواج صوتی با فرکانس بالا به منظور تولید تصاویر مورد نیاز استفاده میشود. این نوع از اسکن در بیمارستان یا سایر مراکز بهداشتی مانند مطبهای جراحی پزشک یا کلینیک انجام میشود.

سی تی اسکن قفسه سینه برای تشخیص کرونا به دنبال چه چیزی است؟
ما به دنبال مطالعات و تحقیقاتی بودیم که دقت تصویربرداری از قفسه سینه را جهت تشخیص بیماری کووید 19 ارزیابی میکنند. نتایج پی سی آر یا آزمایشهای دیگر میتوانند شامل افرادی باشند که به COVID-19 مشکوک هستند یا بیماری آنها تأیید شده باشد. مطالعات ممکن است با هر طرحی باشد و در هر مکانی انجام شود.
از نتایج به دست آمده در حوزه سی تی اسکن برای تشخیص کرونا چه چیزی پیدا کردیم؟
ما 84 مطالعه با 8279 نفر را انجام دادهایم. مطالعات شامل افرادی با بیماری کرونای تأیید شده (71 مطالعه شامل 6331 نفر) و افراد مشکوک به کرونا (13 مطالعه شامل 1948 نفر) بود. عفونت عمدتا با استفاده از آزمایش پی سی آر “RT-PCR” تأیید شد.
اکثر این مطالعات CT قفسه سینه را ارزیابی کردند. به منظور بالا رفتن دقت تحقیقات، ما مطالعاتی را از سراسر جهان پیدا کردیم؛ 78 مطالعه در آسیا انجام شده است.

دقت تصویربرداری از قفسه سینه جهت تشخیص کرونا ویروس در افراد مبتلا به عفونت تایید شده:
به طور متوسط CT اسکن قفسه سینه در 93٪ افراد مبتلا به COVID-19، عفونت تایید شده را به درستی شناسایی کرده است (65 مطالعه، 5759 نفر). اشعه ایکس “X-ray” قفسه سینه در 82٪ افراد مبتلا به کووید 19، عفونت تأیید شده را به درستی شناسایی کرده است (9 مطالعه، 682 نفر). سونوگرافی ریه یا اولتراسوند در 100٪ افراد مبتلا به کرونا ویروس، عفونت تأیید شده را به درستی تشخیص داده است (2 مطالعه، 32 نفر).
دقت تصویربرداری از قفسه سینه جهت تشخیص COVID-19 در افراد مشکوک یا تأیید شده به عفونت:
به طور متوسط CT قفسه سینه عفونت را در 86٪ افرادی که به COVID-19 آلوده بودند به درستی شناسایی کرده است (13 مطالعه، 2346 نفر). با این وجود این عفونت را در 82٪ از افرادی که به کووید 19 آلوده نبودهاند، به اشتباه شناسایی کرده است. ما هیچ مطالعهای پیدا نکردیم که اطلاعات مربوط به سونوگرافی ریه یا اولتراسوند را گزارش کند.
نتایج حاصل از سی تی اسکن تشخیص کرونا چه میزان قابل اعتماد هستند؟
مطالعات، اطلاعات محدودی را در مورد چگونگی تأیید و تشخیص COVID-19، نحوه ابتلای بیماران گزارش کردهاند و در این مطالعات همیشه از روشهای قوی استفاده نشده است. اکثر مطالعات شامل افرادی بوده که تشخیص کرونا ویروس آنها تأیید شده است، بنابراین اطلاعات کمی در مورد توانایی تصویربرداری یا سی تی اسکن از قفسه سینه به منظور رد COVID-19 در افرادی که آلوده نیستند، داریم. همچنین مطالعات هیچ گونه شرایط تنفسی قبلی را که ممکن است بر نتایج آنها تأثیر بگذارند، گزارش نکردهاند. سرانجام 25٪ از مطالعات به عنوان پیش چاپ منتشر شده است که همه آنها بررسیهای دقیق همانند مطالعات منتشر شده قبلی را انجام ندادهاند. عطف به این موضوع ما با اطمینان نمیتوانیم براساس نتایج حاصل از مطالعات موجود در این بررسی نتیجه گیری کنیم.

دقت سی تی اسکن و اشعه ایکس در تشخیص کرونا
شواهد نشان میدهد که CT قفسه سینه و اشعه ایکس قفسه سینه آزمایشهای خوبی به منظور تایید و تشخیص کرونا در افرادی که عفونتشان با استفاده از آزمایشهای دیگر تشخیص داده شده، هستند. با این حال سی تی اسکن ممکن است در تأیید یا رد عفونت در افرادی که به COVID-19 مشکوک هستند، دقت کمتری داشته باشد.
ما در نظر داریم این تحقیقات را به طور منظم به روز کنیم زیرا تحقیقات بیشتری در این زمینه لازم است.
محدودیتهای CT و اشعه ایکس قفسه سینه در تشخیص COVID-19
کالج رادیولوژی آمریکا (یا ACR) با تقریباً 40،000 رادیولوژیست مجرب و ماهر راهنمایی کرده است که از CT و اشعه ایکس نباید به عنوان یک ابزار تراز اول به منظور تشخیص یا غربالگری COVID-19 استفاده شود.
سه دلیل عمده برای توصیه ACR وجود دارد:
- CT یا اشعه ایکس قفسه سینه نمیتواند با دقت بالایی بین COVID-19 و سایر عفونتهای تنفسی مانند آنفلوانزای فصلی تفاوت قائل شود. برخلاف آزمایشهای سواب “swab” که منجر به تشخیصهای خاص COVID-19 میشود، یافتههای تصویربرداری برای تأیید COVID-19 به اندازه کافی دقیق نیستند. آنها میتوانند فقط به علائم عفونت اشاره کنند. این علائم میتواند به دلایل دیگری از جمله آنفلوانزای فصلی یه وجود آمده باشند که در بعضی از فصول سال بسیار شایع است.
- درصد قابل توجهی از بیماران مبتلا به COVID-19، سی تی اسکن و تصویر قفسه سینه طبیعیای دارند. برای آن دسته از بیماران، یک نتیجه تصویربرداری طبیعی میتواند به دروغ، آنها را متقاعد کند که سالم هستند. اگر آنها معتقد باشند که سالم هستند، دیگران را در معرض ابتلا به ویروس کرونا قرار میدهند.
- از آنجا که COVID-19 بسیار مسری است، استفاده از تجهیزات تصویربرداری بر روی بیماران کووید 19 خطری جدی برای ارائه دهندگان خدمات بهداشتی و درمانی و سایر بیماران است. سی تی اسکن ماشینآلات بزرگ و پیچیدهای است. آنها در فاصله سی تی بیمار باالقوهی COVID-19 بعدی میبایست کاملاً تمیز شوند. اما حتی با تمیز کردن دقیق، این خطر وجود دارد که ویروس بر روی سطح اتاق سی تی اسکن باقی بماند. علاوه بر این انتقال بیماران بالقوه COVID-19 به داخل اتاق سی تی اسکن، خطر انتشار ویروس در مراکز درمانی را افزایش میدهد. همچنین این موضوع به این معنی است که دستگاههای CT اسکنر کمتری برای سایر بیماران آسیب پذیر که به آزمایش تصویربرداری نیاز دارند در دسترس است.

اگرچه سی تی اسکن و اشعه ایکس به عنوان تنها راه تشخیص COVID-19 توصیه نمیشود اما ممکن است به صورت موردی مناسب باشد. در بیماران با علائم شدید ممکن است تصویربرداری به ارزیابی جدی بودن بیماری کمک کند. هنگامی که از آزمایشات آزمایشگاهی، سابقه کامل پزشکی و معاینه فیزیکی استفاده میشود، سی تی اسکن یا اشعه ایکس میتواند به منظور تعیین برنامه مراقبت از بیمار مفید باشد.
انجام اقدامات مناسب برای سلامتی شما در برابر ویروس کرونا
به طور کلی تصویربرداری در مدیریت بیماران مبتلا به COVID-19 نقش مکمل را دارد. سی تی اسکن قفسه سینه به عنوان تنها ابزار غربالگری بیماری توصیه نمیشود. در حال حاضر آزمایشات آزمایشگاهی، دقیقترین روش تشخیص این بیماری است.

اگر شما یا یکی از عزیزانتان مشکوک یا نگران ابتلا به ویروس کرونا هستید، قبل از مراجعه به مراکز درمانی از طریق تلفن با ارائه دهنده خدمات بهداشتی خود صحبت کنید. در صورت داشتن علائم هشدار دهنده اضطراری برای COVID-19 از جمله مشکلات تنفسی یا درد مداوم قفسه سینه، بلافاصله با ارائه دهنده خود تماس بگیرید. اگر علائمی دارید اما به آزمایش آزمایشگاهی دسترسی ندارید و در خانه بمانید.
این بررسیها به روز است؟
شواهد موجود در این بررسی در ماه می سال 2020 انجام شده است..