سندرم ولفرام “Wolfram syndrome” یک بیماری پزشکی ژنتیکی نادر و جدی است که چندین سیستم مختلف بدن و ارگانها را تحت تأثیر قرار میدهد. این وضعیت منجر به مرگ زودرس میشود. از جمله عوارض اصلی آن میتوان به دیابت شیرین، دیابت بیمزه و علائم بینایی و شنوایی اشاره کرد. این اختلال، یک بیماری پیشرونده و عصبی است که به طور معمول از کودکی آغاز میشود؛ تخمین زده شده است که تقریباً از هر 100000 نفر یک نفر را درگیر میکند. این بیماری اولینبار در دهه 1930 توسط دکتر دون ولفرام توصیف و تشریح شد. اگرچه در حال حاضر علت اصلی سندرم وولفرام قابل درمان نیست اما به منظور مدیریت علائم بیماری میتوان اقدامات زیادی انجام داد.

فهرست مطالب
علائم سندرم ولفرام چیست؟
گاهی اوقات سندرم ولفرام با مخفف کلمه “DIDMOAD” شناخته میشود که از برخی خصوصیات اصلی بیماری تشکیل شده است.
این موارد عبارتند از:
- دیابت بیمزه “Diabetes Insipidus”
- دیابت شیرین “Diabetes Mellitus”
- آتروفی نوری “Optic Atrophy”
- ناشنوایی “Deafness”
اصطلاح “دیابت” در اصل به معنای “عبور کردن” بود. این ماده به عنوان اصطلاحی به منظور ایجاد ادرار بیش از حد مورد استفاده قرار گرفت. وقتی بیشتر مردم در مورد دیابت صحبت میکنند، منظور آنها نوعی از بیماری به نام “دیابت شیرین” است. بیماری پزشکی دیگر، “دیابت بی مزه” کمتر شایع است و همچنین میتواند باعث ایجاد ادرار اضافی شود. دیابت شیرین و دیابت بیمزه علت یکسانی ندارند و بیشتر افراد دیابتی، دیابت بیمزه ندارند. با این حال سندرم ولفرام از این جهت غیرمعمول است که مشکل ژنتیکی ایجادکننده این بیماری غالباً هم دیابت شیرین و هم دیابت بیمزه ایجاد میکند.
به طور معمول دیابت شیرین اولین مشکلی است که در سندرم وولفرام رخ میدهد. تصور میشود برخلاف دیابت نوع 1 یا 2، دیابت ناشی از سندرم ولفرم از یک علت کاملاً ژنتیکی ناشی میشود.
سندروم ولفرام در صورت عدم درمان علاوه بر ادرار غیرطبیعی و تشنگی بیش از حد، میتواند علائم دیگری نیز ایجاد کند:
- افزایش اشتها
- تاری دید
- کاهش شدید وزن
- کما
دیابت بیمزه بیماری پزشکی است که باعث تشنگی و ادرار بیش از حد میشود. در دیابت بیمزه ناشی از سندرم ولفرام، بخشی از مغز نمیتواند مقادیر طبیعی هورمونی به نام وازوپرسین “vasopressin” (هورمون ضد ادرار) نیز آزاد کند. این هورمون به منظور تنظیم میزان آب در بدن و کنترل غلظت مواد مختلف در خون بسیار مهم است. در صورت عدم وجود، کلیهها بیش از حد طبیعی ادرار تولید میکنند. در صورت عدم درمان، این وضعیت میتواند منجر به کم آبی بدن و سایر مشکلات جدی شود.
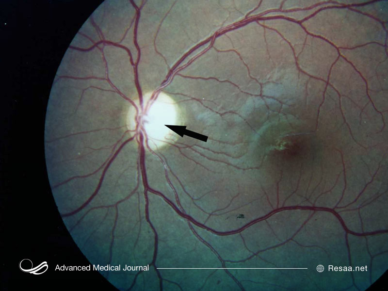
آتروفی “Atrophy” (انحطاط) عصب بینایی یکی دیگر از نگرانیهای اصلی است . این عصب سیگنالهایی را از چشم به مغز میفرستد. تحلیل رفتن آن منجر به کاهش وضوح دید همراه با کاهش دید رنگی و دید محیطی میشود. به طور معمول این علائم از کودکی شروع میشوند. این احتمال وجود دارد که سایر مشکلات چشمی مانند آب مروارید نیز رخ دهد. بیشتر بیماران سرانجام نابینا میشوند.

کاهش شنوایی یکی از رایجترین علائم مرتبط با سندرم ولفرام است. به طور معمول کاهش شنوایی در دوره بلوغ شروع میشود، ابتدا بر فرکانسهای بالاتر تأثیر میگذارد و سپس با گذشت زمان به آرامی بدتر میشود. این وضعیت ممکن است در نهایت منجر به ناشنوایی کامل شود.
تمامی این علائم همه مبتلایان به سندرم ولفرم را تحت تأثیر قرار نمیدهند، اگرچه همه این موارد احتمالات است. به عنوان مثال تنها حدود 70 درصد از افراد مبتلا به این سندرم به دیابت بیمزه مبتلا میشوند.
سایر علائم سندروم ولفرام چیست؟
علاوه بر “DIDMOAD”، سندرم ولفرام میتواند مشکلات دیگری نیز ایجاد کند.
برخی از این موارد ممکن است شامل موارد زیر باشد:
- مشکلات دستگاه ادراری (مانند بیاختیاری و عفونتهای مکرر ادراری)
- اختلال در بو و مزه
- مشکلات تعادل و هماهنگی
- مشکلات تنظیم دما
- مشکلات بلع
- درد عصبی ناشی از نوروپاتی “neuropathy” محیطی
- تشنج
- افسردگی شدید یا سایر مشکلات روانپزشکی
- خستگی
- یبوست و اسهال
- اختلال در رشد
- مشکلات باروری (مانند دورههای قاعدگی نامنظم یا قطع شده و ناباروری)

آسیب تدریجی به بخشی از مغز که تنفس را تنظیم میکند نیز ممکن است در نهایت باعث توقف تنفس در فرد شود. به طور معمول این وضعیت منجر به مرگ قبل از میانسالی میشود.
علل ابتلا به سندروم ولفرام چیست؟
هنوز موارد زیادی وجود دارد که محققان در مورد ژنتیک و کلیات سندرم ولفرام تحقیق میکنند و میآموزند. به نظر میرسد در بیشتر موارد، سندرم ولفرم یک بیماری اتوزومی “autosomal” مغلوب است. این بدان معناست که فرد مبتلا به منظور داشتن سندرم ولفرام باید ژن مبتلا را هم از مادر و هم از پدر دریافت کند.
بسیاری از موارد این سندرم در اثر جهش ژنی به نام WFS1.5 ایجاد میشود. این ژن به عنوان بخشی از DNA از والدین به ارث میرسد. این جهش باعث ایجاد مشکلی در ساخت پروتئینی به نام وولفرامین “wolframin” میشود. این پروتئین در بخشی از سلولها به نام شبکه آندوپلاسمی “endoplasmic reticulum” وجود دارد که نقشهای مختلفی را ایفا میکند. این موارد شامل سنتز پروتئین، ذخیره کلسیم و سیگنالینگ سلولی “cell signaling” است.

همچنین به نظر میرسد در نهایت مشکلات شبکه آندوپلاسمی چندین نوع مختلف سلولی در بدن تأثیر بگذارد. برخی از انواع سلولها بیشتر از سایرین در معرض آسیب هستند. به عنوان مثال به نظر میرسد wolframin دارای اختلال، باعث از بین رفتن نوع خاصی از سلول در لوزالمعده میشود که به طور معمول این سلولها هورمون انسولین را تولید میکنند (سلولهای بتا نامیده میشود). این وضعیت در نهایت به علائم دیابت شیرین منجر میشود زیرا سلولهای بتا نمیتوانند انسولین مورد نیاز به منظور بیرون آوردن گلوکز از خون و سلولها را تولید کنند. مرگ و سوءعملکرد سلولها در مغز و سیستم عصبی، منجر به بروز بسیاری از مشکلات جدی سندرم ولفرام میشود.
همچنین نوع دیگری از سندرم ولفرام وجود دارد که به نظر میرسد توسط ژن دیگری به نام CISD2.5 ایجاد میشود؛ در مورد این ژن تحقیقات کمتری صورت گرفته است اما این احتمال وجود دارد که در برخی از مسیرهای مشابه ژن WFS1 نقش داشته باشد.
احتمال بیماری و ابتلا به سندروم ولفرام
به طور معمول افرادی که فقط یک نسخه از ژن بیمار (به نام حامل) را دارند، علائمی نخواهند داشت. خواهر و برادر همژن فرد مبتلا به بیماری ولفرام نیز 25 درصد احتمال دارد که به این بیماری مبتلا شوند. زن و شوهری که در گذشته بچهای مبتلا به این بیماری داشتهاند، 25 درصد احتمال دارد که فرزند بعدی آنها نیز دچار سندرم ولفرام شود.
اگر کسی در خانواده شما به سندرم وولفرام مبتلا باشد، ملاقات با یک مشاور ژنتیک برای شما مفید و ضروری است. چنین شخصی میتواند به شما مشاوره دهد که در شرایط خاص خود و در صورت تشخیص بیماری انتظار چه چیزی را داشته باشید. اگر سندرم ولفرام یک احتمال است و پزشک به این بیماری مشکوک است، بهتر است که آزمایش شوید. به این ترتیب فردی که همچنان علائمی ندارد، میتواند تحت نظر پزشکی قرار گیرد. آزمایش قبل از زایمان نیز ممکن است برای برخی از خانوادهها مفید باشد.
انواع سندروم ولفرام کدامند؟
گاهی اوقات افراد درگیر به جهش در ژن WFS1، مبتلا به سندرم Wolfram 1.5 تشخیص داده میشوند. افراد دارای جهش CISD2، کمتر از انواع دیگر به سندروم Wolfram 2 تشخیص داده میشوند. افراد مبتلا به سندرم Wolfram 2 تمایل به بروز آتروفی عصب بینایی، دیابت شیرین، ناشنوایی و کاهش طول عمر به عنوان افرادی که مبتلا به سندرم ولفرم 1 هستند، دارند اما به طور معمول آنها دیابت بیمزه نخواهند داشت.
همچنین افرادی هستند که جهش در ژن WFS1 را تجربه میکنند اما بیشتر علائم مشخصه سندرم وولفرام را ندارند. به عنوان مثال این احتمال وجود دارد که فردی دچار کم شنوایی باشد اما هیچ یک از ویژگیهای دیگر بیماری را نداشته باشد. بروز این وضعیت ممکن است به دلیل نوع دیگری از جهش در ژن WFS1 باشد. این احتمال وجود دارد که گفته شود این فرد به یک اختلال مرتبط با WFS1 مبتلا است اما این اختلال، سندرم کلاسیک ولفرام نیست.

تشخیص سندروم ولفرام چگونه است؟
سابقه پزشکی و معاینه بالینی بیمار یک نقطه شروع مهم برای تشخیص است. آزمایش خون (مانند آزمایشات دیابت شیرین) نیز میتواند سرنخی در مورد سیستمها و ارگانهای درگیر ارائه دهد. آزمایشات تصویربرداری (مانند MRI) میتواند ایدهای از میزان آسیب به مغز و سایر سیستمها ارائه دهد.
این احتمال وجود دارد که قبل از این که تشخیص عمومی داده شود، افراد با مولفهای از سندرم وولفرام (مانند دیابت شیرین) تشخیص داده شوند. از آنجا که یک بیماری مانند دیابت شیرین معمولا از یک بیماری ژنتیکی مانند Wolfram ناشی نمیشود، به راحتی میتوان این تشخیص را فراموش کرد. بسیاری از افراد قبل از این که به سندرم ولفرام مبتلا شوند، ابتدا به دیابت نوع I اشتباه تشخیص داده میشوند.
با این حال این نکته بسیار مهم است که پزشکان در مورد احتمال بیماری فکر کنند. به عنوان مثال كودكی كه پس از تشخیص دیابت ملیتوس “diabetes mellitus” دچار آتروفی عصب بینایی میشود، باید از نظر سندرم ولفرام مورد بررسی قرار گیرد. به منظور کمک به ارائه مراقبتهای حمایتی، مهم است که این اختلال هر چه سریعتر تشخیص داده شود.
به منظور تأیید تشخیص سندرم ولفرام، یک متخصص آشنا به این بیماری باید آزمایش ژنتیکی انجام دهد.
درمان سندروم ولفرام چگونه است؟
متأسفانه سندرم وولفرام یک بیماری پیشرونده است و ما در حال حاضر درمانهایی نداریم که بتوانند این روند را متوقف کنند. با این حال تعدادی از روشهای درمانی وجود دارد که میتواند به کاهش علائم بیماری کمک کند و به افراد کمک میکند زندگی بهتری داشته باشند.
درمانهای پیشنهادی سندروم ولفرام شامل:
- انسولین و سایر داروهای دیابت به منظور درمان دیابت شیرین
- دسموپرسین “Desmopressin” (خوراکی یا داخل بینی) برای درمان دیابت بیمزه
- آنتی بیوتیک به منظور عفونت دستگاه ادراری
- سمعک یا کاشت حلزون گوش برای کاهش شنوایی
- کمکهای حمایتی به منظور کمک به افرادی که بینایی خود را از دست دادهاند مانند عینکهای ذرهبینی مخصوص
همچنین این پشتیبانی باید شامل نظارت منظم توسط یک تیم متخصص از ارائهدهندگان خدمات بهداشتی از جمله متخصصان این بیماری باشد. این حمایتها باید شامل پشتیبانی روانشناختی از جمله کمک به مراقبان نیز باشد. حتی با وجود این پشتیبانیها، اکثر بیماران مبتلا به سندرم ولفرم به دلیل مشکلات عصبی خود، زودتر از موعد میمیرند.
اگرچه در حال حاضر هیچ درمانی وجود ندارد که مستقیماً این بیماری را درمان کند اما این موضوع ممکن است در آینده تغییر کند. محققان به دنبال داروهای مورد استفاده به منظور مصرف در سایر شرایط بیماری یا تولید داروهای جدید برای هدف قرار دادن این مشکلات با شبکه آندوپلاسمی هستند. در نهایت ژن درمانی ممکن است در درمان بیماری نقش داشته باشد. شما میتوانید درمورد آزمایشات بالینی که ممکن است در دسترس باشد با ارائهدهنده پزشکی خود صحبت کنید.

خلاصه و آینده سندروم ولفرام
این اختلال ممکن است ویرانگر باشد؛ شما باید نحوه تعامل با شخص مبتلا به سندروم ولفرام که به او اهمیت میدهید یا از او حمایت میکنید را یاد بگیرید. با این حال بدانید که شما تنها نیستید. حتی اگر سندرم ولفرم یک بیماری نادر است، ارتباط با خانوادههای دیگر که با این بیماری روبرو هستند، مسیر شما را سادهتر میکند. شناخت بیشتر در مورد این بیماری به شما کمک میکند تا در انجام بهترین انتخابهای پزشکی توانمند باشید. تیم ارائهدهندگان خدمات بهداشتی شما نهایت تلاش خود را میکنند تا پشتیبانی مورد نیاز شما را ارائه دهند.