اختلال نفروکلسینوز “Nephrocalcinosis” به افزایش کلسیم در کلیهها اشاره دارد. به طور معمول نفروکلسینوز به جای افزایش محلی و نقطهای کلسیم که در سکته قلبی کلسیفیک شده و سل کلیوی مشاهده میگردد، به افزایش کلی این ماده در کلسیم کلیوی مربوط میشود.
پیشرفت در اوروآندوسکوپی “uroendoscopy” منجر به تعریف دیگری شده است: نمایش رادیوگرافی “radiographic” کلسیفیکاسیونهای منتشر پارانشیمی کلیه “renal parenchymal calcifications”.
فهرست مطالب
- 1 نفروکلسینوز را میتوان به سه دسته تقسیم کرد (به طور قابل توجهی درجهای از همپوشانی بین گروهها وجود دارد):
- 2 اپیدمی و همهگیری نفروکلسینوز
- 3 عوارض بیماری نفروکلسینوز
- 4 تشخیص کلی بیماری نفروکلسینوز
- 5 علل برزو بیماری نفروکلسینوز چیست؟
- 6 آزمایشات رایج تشخیصی نفروکلسینوز
- 7 بیماریهای وابسته به نفروکلسینوز
- 8 مدیریت و درمان بیماری نفروکلسینوز
- 9 پیشبینی و پیشآگاهی از بیماری نفروکلسینوز
- 10 منابع:
نفروکلسینوز را میتوان به سه دسته تقسیم کرد (به طور قابل توجهی درجهای از همپوشانی بین گروهها وجود دارد):
- نفروکلسینوز شیمیایی “Chemical nephrocalcinosis”: افزایش غلظت کلسیم در سلولهای کلیوی به خصوص اپیتلیوم “epithelium” لولهای باعث اثرات سوء بر ساختار و عملکرد کلیه به عنوان مثال افزایش دفع آب، سدیم، پتاسیم، کلسیم و منیزیم میگردد.
- نفروکلسینوز میکروسکوپی “Microscopic nephrocalcinosis”: کلسیم به صورت کریستالی به صورت اگزالات “oxalate” یا فسفات رسوب میکند. با این حال تنها با کمک میکروسکوپ دیده میشود.
- نفروکلسینوز ماکروسکوپی “Macroscopic nephrocalcinosis”: در این نوع از بیماری، مناطق وسیعی از کلسیفیکاسیون دیده میشود.
نفروکلسینوز ممکن است با سنگ کلیه همراه باشد اما در بیشتر موارد نشان دهنده یک اختلال متابولیک زمینهای است.

همچنین می توان نفروکلسینوز را به موارد زیر دستهبندی کرد:
-
نفروکلسینوز مدولاری “Medullary nephrocalcinosis”:
شایعترین شکل مشخص شده با درگیری انحصاری اهرام مدولار “medullary pyramids”.
به طور معمول این نوع از بیماری با هموستاز “homeostasis” کلسیم بینظم همراه است.
-
نفروکلسینوز بیرونی “Cortical nephrocalcinosis”:
این نوع از بیماری نادرتر از انواع دیگر آن است و شامل تمام پارانشیم کلیه میشود.
غالباً این نوع از اختلال با نقایص شدید متابولیکی مانند هایپراکسالوریای “hyperoxaluria” اولیه یا بیماری کلیه در مرحله نهایی همراه است.
شایعترین دلایل بروز آن، گلومرولونفریت “glomerulonephritis” مزمن و نکروز حاد بیرونی یا پوستی است.
دلایل دیگر شامل سندرم همولیتیک اورمیک “haemolytic uraemic”، پیلونفریت مزمن “chronic pyelonephritis”، ریفلاکس وزیکوروئترال “vesicoureteral”، پیوند کلیه و بیماری کلیه پلی کیستیک است.
اپیدمی و همهگیری نفروکلسینوز
نفروکلسینوز میکروسکوپی یک یافته اتفاقی رایج و مسری در مرگ و پس از آن است اما به طور کلی نفروکلسینوز ماکروسکوپیک غیرمعمول است.
اتیولوژی “Aetiology”
نفروکلسینوز مدولاری
- هایپرکلسمی: به عنوان مثال رژیم غذایی، هایپراپاراتیروئیدیسم “hyperparathyroidism”، ویتامین D اضافی، متاستازهای استخوانی، از دست دادن استخوان در اثر بی حرکتی مزمن و پوکی استخوان شدید، سارکوئیدوز “sarcoidosis”، هایپرکلسمی ایدیوپاتیک “idiopathic hypercalcaemia” در دوران نوزادی (بیماری ویلیامز “Williams”) باعث این اختلال میشوند.
- هایپرکلسسیوریا “Hypercalciuria”: دستکاری توبولهای “tubular” کلیوی تغییر یافته به عنوان مثال هایپرکلسوریوی ایدیوپاتیک “idiopathic”، اسیدوز توبولهای کلیوی دیستال “distal” (با دفع کم سیترات در ادرار همراه است)، کم کاری تیروئید، اختلالات توبولی ارثی (به عنوان مثال سندرم بارتر “Bartter’s syndrome” و نفروپاتی “nephropathy” از دست دادن منیزیم ارثی) و این امکان وجود دارد که به دنبال درمان دیورتیک “diuretic” فشرده در نوزادان نارس این اختلال ایجاد شود.
هایپرکلسسیوریا نیز یکی از ویژگیهای سندرم فانکونی “Fanconi” و اسیدوز توبولار پروگزیمال “proximal” کلیه است. با این حال این شرایط کمتر از اختلالات دیگر با نفروکلسینوز همراه است.
- عدم وجود عواملی در ادرار (مثلا سیترات) که به حفظ نمک کلسیم در محلول کمک میکند و در شرایطی که باعث هایپوکالمی “hypokalaemia” مزمن میشود (به عنوان مثال هایپرآلدوسترونیسم “hyperaldosteronism” اولیه).
نفروکلسینوز بیرونی یا پوستی
- نکروز بیرونی کلیه حاد: علل این اختلال شامل عفونت، شوک سنگ شکنی خارج بدن و سندرم همولیتیک اورمیک است.
- اگزالوز “oxalosis” اولیه و ثانویه.
- گلومرولونفریت “glomerulonephritis” مزمن.
- عفونتهای داخل کلیه در بیماران HIV مثبت.
- پیلونفریت “pyelonephritis” مزمن.
- رد پیوند کلیه
- بیماری پلی کیستیک مغلوب اتوزومال “Autosomal”.
عوارض بیماری نفروکلسینوز
این احتمال وجود دارد که این وضعیت منجر به فشار خون بالا کنترل نشده، عفونت کلیه، اسکار یا آثار شدید زخم، کولیک کلیوی، نقص عملکرد توبولهای کلیه و بیماری مزمن کلیوی شود.
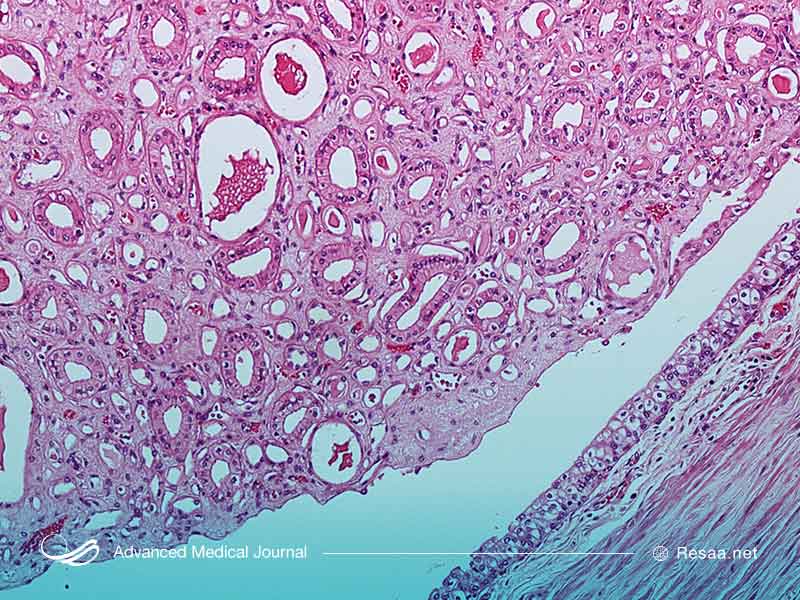
تشخیص کلی بیماری نفروکلسینوز
در درجه اول اتیولوژی زمینهای تعیین نفروکلسینوز را آسان میکند، اگرچه در بیشتر موارد این بیماری بدون علامت است و به عنوان یک ناهنجاری در تصویربرداری از مجاری کلیه مشخص میشود.
تشخیص بیماری ممکن است از طریق شناسایی اتفاقی اختلال در اشعه ایکس شکم یا سونوگرافی انجام شده به یک دلیل دیگر اتفاق بیفتد یا این که شرایطی ایجاد گردد که تهدیدکننده زندگی باشد.
هایپرکلسمی: پلی اوریا “polyuria” و polydipsia بر اساس بروز حالت تهوع و استفراغ تشخیص داده میشوند.

این وضعیت ممکن است باعث فشار خون شود.
به طور معمول در نفروکلسینوز مدولار، گرههای کلسیم در سیستم کالیسیت “calyceal” پاره میشوند و سنگهای کلیوی و ادراری ایجاد میکنند؛ این شرایط باعث قولنج کلیوی، هماچوری “haematuria”، عفونتهای دستگاه ادراری یا جابهجایی سنگهای ادراری میشود.
به ندرت این احتمال وجود دارد که وضعیت ایجاد شده با ویژگیهای آسیب حاد کلیه یا بیماری مزمن کلیوی ظاهر شود.
علائم بروز در کودکان شامل عدم رشد در سال اول زندگی، عفونتهای دستگاه ادراری، اختلال در تخلیه مثانه یا درد شکم و تأخیر در حرکات روانی است.
علل برزو بیماری نفروکلسینوز چیست؟
هر اختلالی که منجر به مقادیر بالای کلسیم در خون یا ادرار شود، ممکن است منجر به نفروکلسینوز شود. در این اختلال کلسیم در بافت کلیه رسوب میکند. بیشتر اوقات هر دو کلیه تحت تأثیر این شرایط قرار میگیرند.
به طور کلی نفروکلسینوز مربوط به سنگ کلیه است (نه کلیه).
شرایطی که میتوانند باعث نفروکلسینوز شوند شامل موارد زیر است:
- سندوم آلپورت
- سندرم بارتر
- گلومرولونفریت مزمن
- هیپومنیزمی ارثی
- کلیه اسفنجی مدولاری
- هایپراکسالوریای اولیه
- تاثیرات و عوارض پیوند کلیه
- اسیدوز توبولی کلیه (RTA)
- نکروز بیرونی کلیه
سایر علل احتمالی نفروکلسینوز عبارتند از:
- سمیت اتیلن گلیکول
- هایپرکلسمی (کلسیم اضافی در خون) به دلیل پرکاری تیروئید
- استفاده از برخی از داروها مانند استازولامید “acetazolamide”، آمفوتریسین B “amphotericin”و تریامترن “triamterene”
- سارکوئیدوز
- سل کلیه و عفونتهای مرتبط با ایدز
- سمی شدن ویتامین D در بدن
آزمایشات رایج تشخیصی نفروکلسینوز
آزمایش خون
- کلسیم سرم “Serum calcium”، فسفات، آلبومین “albumin”: به منظور تشخیص وجود هایپرکلسمی.
- الکترولیتهای سرم و ارزیابی عملکرد کلیه.
- سطح هورمون پاراتیروئید.
- سطح هورمون تحریک کننده تیروئید (TSH).
انجام تحقیقات از طریق ادرار فرد بیمار
- تجزیه و تحلیل ادرار با میکروسکوپ و کشت: شواهدی از عفونت دستگاه ادراری.
- دفع ادرار 24 ساعته، اگزالات “oxalate”، سیترات “citrate” و پروتئین: ارزیابی هایپرکلسسیوری و سندرم نفروتیک احتمالی.
- منیزیم ادرار: نفروپاتی از دست دهنده منیزیم.

رادیولوژی
- اشعه ایکس شکم: تشخیص نفروکلسینوز، سنگهای ادراری.
- سونوگرافی: حساسیت بیشتری نسبت به رادیوگرافی معمولی دارد و میتواند در برخی از سناریوهای بالینی نسبت به سی تی اسکن برتر باشد (به عنوان مثال نفروکلسینوز همراه با هیپوپاراتیروئیدیسم).
- سی تی اسکن: در تشخیص کلسیفیکاسیون موثرتر است و میتواند برای تمایز رسوبات مدولار و قشر بیرونی مغز استفاده شود.
آندوسکوپی
هنگامی که در خلال سی تی اسکن، کلسیفیکاسیون در ارتباط نزدیک با پاپیلاهای “papillae” کلیه دیده میشود، تشخیص نفرولیتیاز “nephrolithiasis” از نفروکلسینوز ممکن است به بازرسی بصری مستقیم با استفاده از آندوسکوپی نیاز داشته باشد.
نمونه برداری از کلیه
این احتمال وجود دارد که این روش تشخیصی در ارزیابی علت اصلی بیماری مورد نیاز باشد.
آزمایش ژنتیک
این روش ممکن است در آینده نقش فزایندهای در تشخیص نفروکلسینوز کودکان داشته باشد.
بیماریهای وابسته به نفروکلسینوز
در این شرایط نفروکلسینوز و سنگهای ادراری مثانه ممکن است وجود داشته باشند. نفروکلسینوز و نفرولیتیاز کلسیم به عنوان دو آسیب و اختلال مستقل در نظر گرفته میشوند.

شرایط متداول و مرتبط بیماری شامل موارد زیر است:
- هایپرپاراتیروئیدیسم اولیه.
- اسیدوز توبولی کلیه نوع 1 (دیستال).
- کلیه اسفنجی مدولاری.
- فوروزماید تراپی “Furosemide therapy” (نوزادی).
- افزایش میزان نارس بودن نوزادان
شرایط نادرتر مربوط به موارد زیر است:
- فسفات و ویتامین D در راشیتیسم هیپوفسفاتمیک “hypophosphataemic” مرتبط با X.
- هایپرفسفاتازیا “Hyperphosphatasia”.
- سارکوئیدوز
- بیماری سل.
- مسمومیت با ویتامین D.
- هایپومنیزمی “Hypomagnesemia”.
- سندرم بارتر.
- بیماری ذخیره گلیکوژن 1.
- بیحرکتی طولانی مدت.
- هایپرکالسیوری ایدیوپاتیک “Idiopathic hypercalciuria”.
- سندرم چشم و مغز.
- هایپراکسالوریا “Hyperoxaluria”.
- سندرم کوشینگ.
- کم کاری تیروئید.
- استازولامید “Acetazolamide”.
- گزانتوماتوز سربروتندینوز “Cerebrotendinous xanthomatosis”.
- بیماری دندانهای.
مدیریت و درمان بیماری نفروکلسینوز
- از این که به اندازه کافی مایعات مصرف میکنید، مطمئن شوید.
- درمان بیماری زمینهای. به عنوان مثال پاراتیروئیدکتومی به منظور کنترل غده پاراتیروئید با عملکرد بیش از حد است.
- درمان زود هنگام علل برگشتپذیر نارسایی کلیه. مانند درمان عفونتهای ادراری، انسداد تشخیص داده شده و فشار خون بالا ضروری است.
- هنگامی که نارسایی کلیه تشخیص داده شد، میبایست متناسب با نوع تشخیص آن درمان شود. مقالات جداگانه آسیب حاد کلیه و بیماری مزمن کلیه را مطالعه نمایید.
- به منظور از بین بردن سنگ بزرگ و قابل توجه در دستگاه کلیه ممکن است مداخله با روش جراحی لازم باشد، خصوصاً اگر این وضعیت باعث انسداد یا عفونت گردد.
- لیتوتریپسی “Lithotripsy” ممکن است باعث آسیب کلیه شود، زیرا رسوب کلسیم تا حد زیادی پارانشیمی “parenchymal” است.

پیشبینی و پیشآگاهی از بیماری نفروکلسینوز
به طورعمده پیشآگهی به شناسایی علت و نوع بیماری نفروکلسینوز بستگی دارد.
تشخیص و درمان به موقع بیماری زمینهای کودکان با رشد فزاینده و تثبیت عملکرد گلومرولی در بسیاری از کودکان همراه است اما در اکثر موارد با کاهش درجه نفروکلسینوز همراه نیست.
آمار منتشر شده در مورد نفروکلسینوز
به منظور تشخیص بالینی روش رادیولوژیک لازم است و این بیماری در حدود 0.1٪ از عکسهای رادیولوژی کلیه مشخص شده است. این وضعیت با تجزیه و تحلیل میکروسکوپی در حدود 10٪ از کالبدشکافیها تشخیص داده میشود.
دلایل زیادی برای بروز و ابتلا به این بیماری وجود دارد که هرکدام عوامل مستعدکننده خود را دارند.

روند طبیعی این شرایط به علت بروز بیماری بستگی دارد. برخی از دلایل مانند کلیه اسفنجی مدولاری در اشعه ایکس نمای چشمگیری دارند اما پیشرفت و تغییرات غیرمعمولی در برابر بیماری کلیوی طولانی مدت ایجاد میگردد. رفع علل دیگر مانند هایپرپاراتیروئیدیسم ممکن است منجر به رفع کامل بیماری کلیوی شود. علل دیگر مانند هایپراکسالوریا با گذشت زمان به نارسایی مزمن کلیه تبدیل میشوند.
به طور معمول وضعیت نفروکلسینوز منجر به کاهش آهسته عملکرد کلیه در طول زمان خواهد شد.